Skyline
(703) 931-4544
Old Town
(703) 549-7492
Menu
About Us
Meet Our Doctors
Our Technologies
Office Gallery
Smile Gallery
Our Services
Dental Implants
Orthodontics
Clear Aligners
Traditional Metal Braces
Sleep Apnea
Dental Emergencies
Preventive Dentistry
Restorative Dentistry
Dental Implants
Dental Crowns
Dental Bridges
Cosmetic Dentistry
Dental Veneers
Teeth Whitening
Oral Surgery
Sedation Dentistry
Periodontal Treatment
New Patients
Insurance & Financing
Membership Plan
Patient Reviews
Skyline
Old Town
Special Offers
Contact Us
Pay Online
Book Now
Book Now
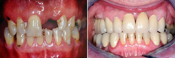
Smile Gallery
U Shine Dental
About Us
Smile Gallery
Dental Veneers
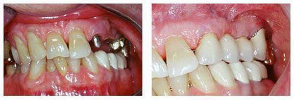
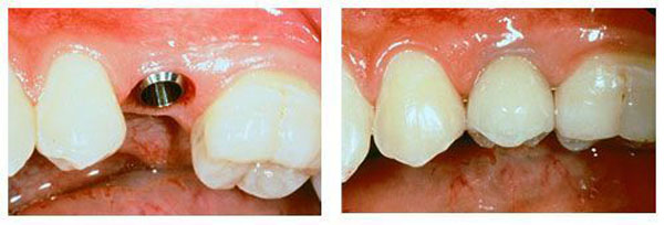
Dental Implants
Cosmetic Gum Surgery
Porcelain Bridge
Zoom! Whitening
Root Covering
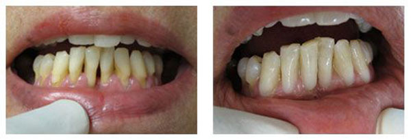
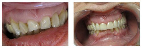
Smile Makeover
Skyline
5206 Dawes Ave, Alexandria, VA 22311
(703) 931-4544
Old Town
303 S Columbus St, Alexandria, VA 22314
(703) 549-7492
Contact Us
Skyline
(703) 931-4544
Old Town
(703) 549-7492